Dr. med. dent. Jörg Schäfer & Kollegen
Fachzahnärzte für Oralchirurgie
Weidenfelder Straße 2, 73430 Aalen

Röntgendiagnostik

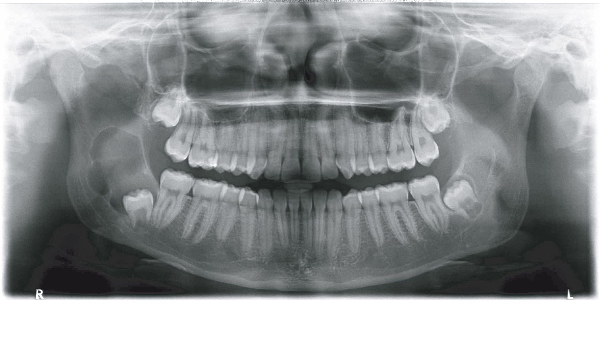
Operationen an Zähnen und Kieferknochen sind ohne eine adäquate Röntgendiagnostik nicht möglich. Als Standardverfahren hat sich die Panoramaschichtaufnahme etabliert, die je nach Fragestellung durch intraorale kleine Zahnfilme ergänzt wird. Beide Techniken erfolgen in unserer Praxis digital und damit mit reduzierter Strahlenbelastung für den Patienten. Die Panoramaschichtaufnahme gibt einen hervorragenden Überblick über alle relevanten anatomischen Strukturen, die bei einer Operation berücksichtigt werden müssen. In einigen Fällen kann eine zusätzliche 3D-Aufnahme (DVT) vor der Behandlung sinnvoll sein, insbesondere zur Risikoabschätzung eines operativen Eingriffs, bspw. der Gefahr einer Nervenverletzung bei der Entfernung komplex verlagerter Weisheitszähne, zur Bestimmung der Größenausdehnung von Kieferzysten und -tumoren sowie bei komplizierteren Operationen an der Kieferhöhle.

So finden Sie uns in Aalen
Mit dem Laden der Karte akzeptieren Sie die Datenschutzerklärung von Google.Mehr erfahren
Google Map Laden

Oralchirurgie am Stadtgraben

Oralchirurgische Praxisklinik
Dr. med. dent. Jörg Schäfer & Kollegen
Fachzahnärzte für Oralchirurgie

Weidenfelder Straße 2
73430 Aalen

Kontakt

Tel. 07361 . 460 464 0
Fax 07361 . 460 464 1
E-Mail: info@oralchirurgie-aalen.de

Sprechzeiten

Mo08:00 - 17.30 Uhr
Di08:00 - 19.00 Uhr
Mi08:00 - 14.00 Uhr
Do08:00 - 17.30 Uhr
Fr08:00 - 14:00 Uhr
und nach Vereinbarung